THE BABY
 
      
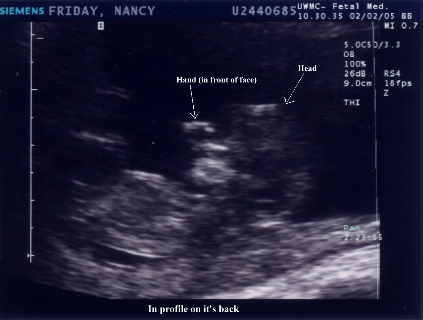
      February 2, 2005 - 11.5 weeks (9.5 weeks from conception)  | 
     
      
      April 5, 2005 - 20.5 weeks (18.5 weeks from conception)  | 
  
 
      April 5, 2005 - 20.5 weeks (18.5 weeks from conception)  | 
     
      April 5, 2005 - 20.5 weeks (18.5 weeks from conception)  | 
  
Turn on your speakers to hear
the heartbeat from February 16, 2005 
(13.5 weeks - 11.5 weeks from conception).
